Забавно

В епизода 45-годишната звезда се присъединява към Скот Дисик за среща с д-р Даниел Амен. Тя...
Да видим какво са ти подготвили всички онези хора в интернет, които ти доволно псуваш всеки ден....
Най-добрите смешки, които се завъртяха в социалните мрежи тази седмица!   Ся като взема...
Най-добрите смешки от социалните мрежи до сряда! Само най-доброто от най-доброто!   - Ало, искам да запазя круиз за себе си и съпругата ми. - А какви са изискванията ви - отделни легла, отделна каюта? - Отделни кораби... *** Ся като...
Полицията в град Фунабаши, префектура Чиба, арестува 26-годишен мъж по обвинение в затрудняване на търговската дейност. През месец май той поставил пластмасова бутилка, пълна с урина, на рафт в магазин. Според полицейския доклад, Кота Шиозава,...
На 27 и 28 юни 2026 г. Vidas Art Arena в Борисовата градина отново ще бъде дом на едно от най-очакваните музикални събития у нас, а старта на програмата дават британската пост-пънк сензация IDLES и канадските рок гиганти...
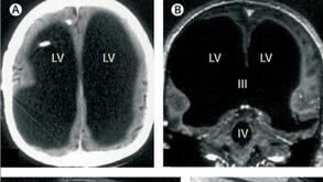
44-годишен французин посетил болница, след като усетил слабост в крака си. Лекарите направили изненадващо откритие: почти целият му мозък липсвал. Черепът му бил запълнен почти изцяло с течност, като от мозъчната тъкан бил останал само тънък слой...
Да видим какво са ти подготвили всички онези хора в интернет, които ти доволно псуваш всеки ден. Може да се радваш, че поне е петък... ако е някаква утеха.
Най-добрите смешки, които се завъртяха в социалните мрежи тази седмица!   Дионисий никога не е имал махмурлук.Затова древните гърци го мислели за бог. - Скъпа, ако някой ден се разоря, ти ще продължиш ли да ме обичаш?- Разбира се. Но, страшно...
Били Айлиш разпали нова вълна от дебати около концентрацията на богатство в САЩ, след като отправи серия от директни и необичайно остри критики към Илън Мъск – най-богатия човек в света. В свои Instagram истории американската певица атакува...
Най-добрите смешки от социалните мрежи до сряда! Само най-доброто от най-доброто! Учителката:- Иванчо, кой материал е по-твърд - дървото или желязото?- Дървото, госпожо. Никой не казва, пипни да видиш как съм го нажелязил. *** Мъж към жена си:- Как...
По време на скорошна сесия в полския парламент, член на опозиционната партия KWiN (Конфедерация "Свобода и независимост") взе думата, за да критикува новото отлагане. "Като част от парламентарното си изявление, исках да ви информирам...
НАЙ-ЧЕТЕНИТЕ